Artrosi al ginocchio

Il ginocchio, insieme all’anca, è l’articolazione più colpita dalla patologia artrosica, una condizione che si manifesta con una progressiva degenerazione dei capi articolari. Questo processo degenerativo interessa la componente ossea, cartilaginea, capsulare e i tessuti periarticolari come tendini e muscoli.

Gonartrosi

L’artrosi del ginocchio (gonartrosi) può manifestarsi con usura della cartilagine associata alla formazione di osteofiti (per iperproduzione di osso ai margini articolari) e riassorbimento dell’osso subcondrale con formazione di geodi.
Nel tempo, tutti questi fenomeni portano a una progressiva deformazione dell’articolazione con limitazioni della sua funzionalità tali da compromettere la mobilità e la qualità di vita.

La gonartrosi primaria non è riconducibile a una causa definita, mentre quella secondaria è correlata a diversi fattori:

  • processi infiammatori, come artrite reumatoide e altre sindromi reumatiche
  • problemi metabolici, come nel diabete
  • esiti di eventi traumatici, come nelle fratture guarite con deviazione assiali o nelle fratture articolari
  • fattori congeniti, come nel ginocchio varo (a “O”) e valgo (a “X”)

Chirurgia protesica

Il sintomo principale dell’artrosi è il dolore, ed è verso questo sintomo che viene indirizzato il primo intervento terapeutico, con terapie conservative farmacologiche e fisioterapiche. 

Quando queste si dimostrano inefficaci per l’aggravarsi della malattia artrosica, e la sintomatologia diventa limitante, con un impatto significativo sulla qualità di vita, è indicato il ricorso alla sostituzione protesica mediante l’impianto di una protesi di ginocchio, un intervento che viene eseguito di routine senza particolari complicazioni.
Se impiantata con successo, la protesi al ginocchio si è dimostrata una soluzione efficace che consente ai pazienti di recuperare la funzionalità articolare e migliorare la propria qualità di vita.

Protesi totale di ginocchio

L’articolazione del ginocchio è costituita dalla parte distale del femore, dalla parte prossimale della tibia e dalla rotula. L’intervento di protesi al ginocchio prevede la sostituzione delle superfici articolari danneggiate. 

In particolare, la protesi di ginocchio è composta da:

  • una componente femorale, fissata sulla superficie distale del femore perfettamente sagomata; 
  • una componente tibiale, fissata sulla parte superiore della tibia, che viene resecata in modo tale da correggere eventuali difetti di allineamento del ginocchio (varo-valgo); 
  • un inserto in polietilene che, inserito sulla componente tibiale, svolge un’azione ammortizzante tra la componente femorale e quella tibiale.

Talvolta si usa una componente rotulea in polietilene, applicata sulla superficie articolare della rotula opportunamente resecata; tuttavia oggi le componenti femorali delle protesi moderne consentono di non protesizzare la rotula.

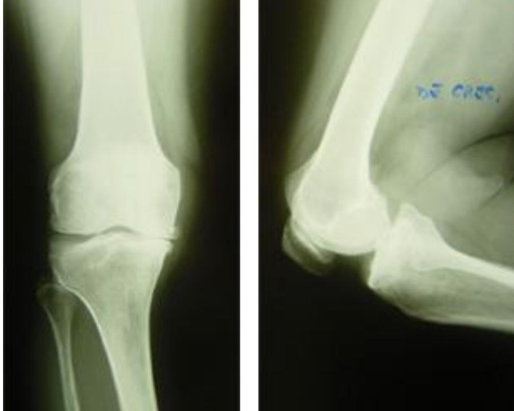
Rx Preoperatoria
Rx postoperatoria
Protesi totale

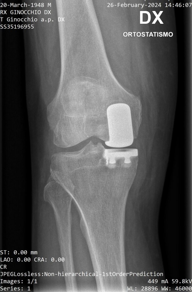
Protesi monocompartimentale

In casi selezionati può essere utile l’impianto di una protesi monocompartimentale, considerata la vera protesi di ginocchio mininvasiva. Prevede infatti la sostituzione del solo compartimento danneggiato con componenti protesiche di superficie che rivestono il condilo femorale e l’emipiatto tibiale (mediale o laterale).

Questo tipo di protesi è indicata nell’osteonecrosi del condilo femorale o dell’emipiatto tibiale e nell’artrosi monocompartimentale (che interessa solo una parte del ginocchio, quella mediale o quella laterale).

 

L’intervento prevede un’incisione di circa 7-8 cm; il decorso postoperatorio è meno impegnativo rispetto a un’artroprotesi totale e il recupero riabilitativo più veloce.

Rx preoperatoria
Rx postoperatoria
Protesi monocompartimentale

Revisione

La protesi di ginocchio ha una durata media di circa 15 anni. Quando un impianto protesico si usura o si scolla, deve essere sostituito. 

Questo tipo di intervento, denominato revisione, è oggigiorno più affidabile e sicuro grazie ai miglioramenti degli strumentari e dei materiali.
Varie soluzione tecniche a disposizione del chirurgo, come steli di varie dimensioni aggiunti alle componenti femorali e tibiali, e spessori di varie forme e dimensioni, consentono di effettuare questo tipo di revisioni con sufficiente sicurezza.

Biomateriali

Nella protesi di ginocchio si usano componenti protesiche (scudo femorale e piatto tibiale) in cromo-cobalto-molibdeno, che vengono fissate all’osso con un cemento speciale; la letteratura mondiale riferisce infatti un 3% di fallimenti in più delle protesi non cementate rispetto a quelle cementate. 

Sul piatto tibiale poi viene inserito un elemento in polietilene, per far scorrere lo scudo femorale senza problemi permettendo un movimento fluido del ginocchio.