Protesi monocompartimentale: come, quando e perché

Condividi articolo

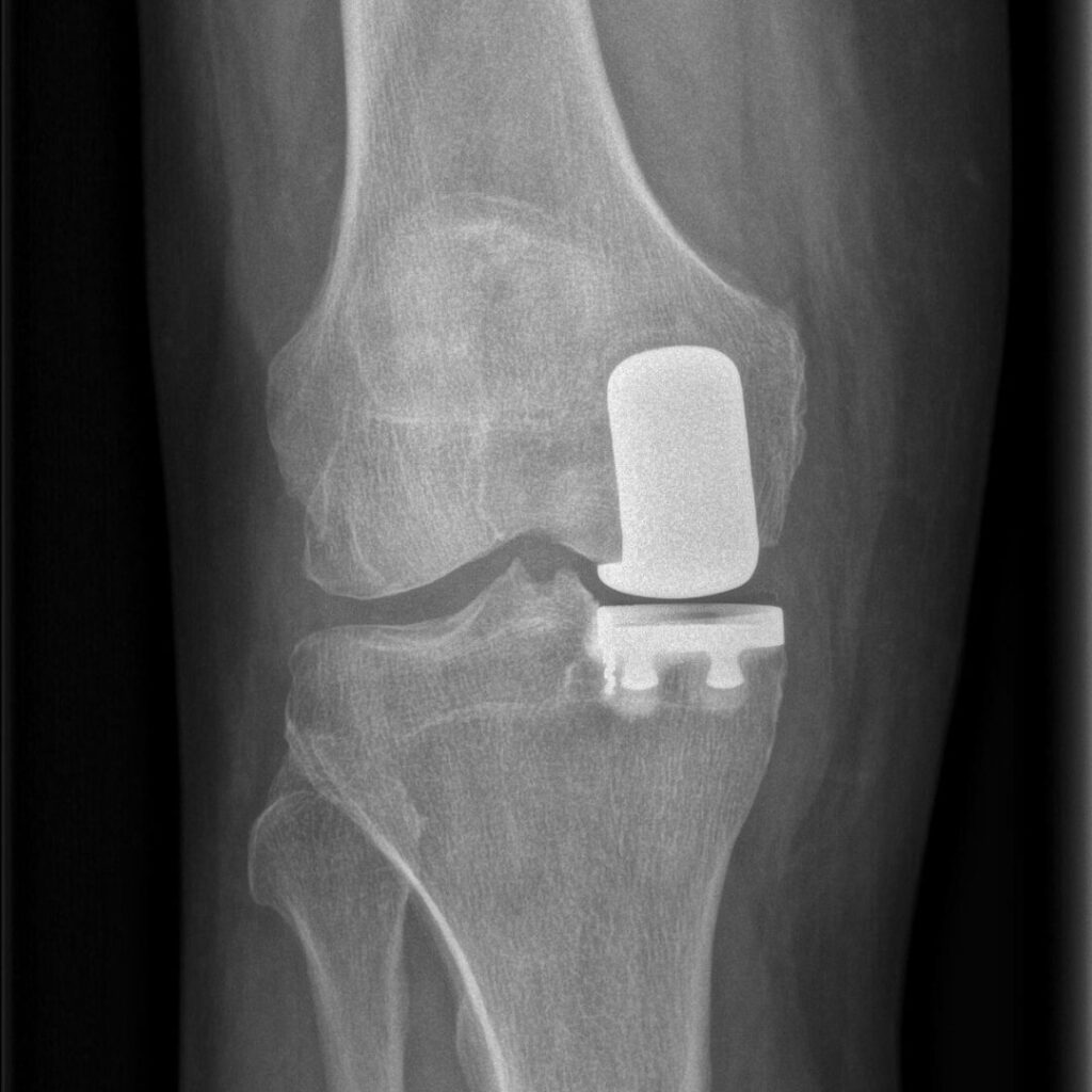
La protesi monocompartimentale di ginocchio è un intervento chirurgico che sostituisce soltanto la parte danneggiata dell’articolazione, preservando le strutture sane. Nel mio lavoro ho sempre considerato questa procedura la vera forma di chirurgia mininvasiva del ginocchio, perché consente di intervenire in modo selettivo, rispettando l’anatomia e la funzione naturale dell’articolazione.

Negli ultimi anni la protesi monocompartimentale ha assunto un ruolo di rilievo nel trattamento dell’artrosi localizzata del ginocchio, grazie ai materiali evoluti, alle tecniche più precise e alla possibilità di un recupero funzionale rapido. È una procedura che richiede un’attenta selezione del paziente e un’elevata accuratezza chirurgica, ma che, se indicata correttamente, garantisce risultati eccellenti e duraturi.

Quando si esegue la protesi monocompartimentale

L’indicazione principale è l’artrosi localizzata in un solo compartimento del ginocchio. L’articolazione del ginocchio è formata da tre compartimenti: mediale, laterale e femoro-rotuleo. Quando l’usura cartilaginea interessa solo uno di questi — nella maggior parte dei casi il mediale — e gli altri due restano integri, è possibile sostituire solo la parte danneggiata senza coinvolgere l’intera articolazione. La protesi monocompartimentale è indicata anche in caso di osteonecrosi del condilo femorale o dell’emipiatto tibiale. 

La protesi monocompartimentale può essere considerata quando:

  • I legamenti crociati e collaterali sono integri e mantengono la stabilità articolare.
  • Il dolore è intenso e limita le normali attività della vita quotidiana, nonostante terapie conservative adeguate.
  • Non sono presenti deformità ossee gravi o artrosi estese a più compartimenti.

In presenza di queste condizioni, l’intervento permette di restituire una funzione articolare molto simile a quella naturale, con tempi di recupero più brevi rispetto a una protesi totale.

Come si svolge l’intervento

L’intervento di protesi monocompartimentale è mini-invasivo. L’incisione cutanea è più ridotta rispetto a quella della protesi totale, in genere compresa tra 7 e 9 centimetri. Attraverso questa apertura, rimuovo solo le parti usurate di osso e cartilagine, preservando le strutture sane e i legamenti.

Le componenti protesiche, in lega di cromo-cobalto e polietilene, vengono fissate con cemento chirurgico, che garantisce stabilità immediata e un’ottima adesione all’osso. L’intervento dura in media meno di un’ora e comporta una perdita di sangue molto inferiore rispetto a una protesi totale. In molti casi il paziente può essere dimesso dopo 48 ore e iniziare la riabilitazione già il giorno successivo.

Perché la considero la vera mininvasività del ginocchio

Il termine “mininvasivo” viene spesso associato alla sola dimensione del taglio chirurgico. In realtà, la vera mininvasività si riferisce anche alla capacità di conservare le strutture anatomiche sane e preservare la biomeccanica naturale del ginocchio. La protesi monocompartimentale soddisfa pienamente questi criteri.

A differenza della protesi totale, che richiede la sostituzione completa delle superfici articolari e talvolta la resezione dei legamenti crociati, la protesi monocompartimentale consente di mantenere intatti i legamenti e la cinematica naturale dell’articolazione. Questo si traduce in un movimento più fisiologico e in una sensazione articolare più naturale.

Il paziente spesso riferisce di “sentire il ginocchio come proprio”, perché la propriocezione — la percezione del movimento e della posizione articolare — rimane sostanzialmente invariata. L’invasività ridotta comporta anche minore dolore postoperatorio e un recupero più rapido.

Rispetto alla protesi totale, questo tipo di impianto offre numerosi vantaggi, sia dal punto di vista chirurgico che funzionale. Gli aspetti che ne rendono preferibile l’utilizzo, quando indicato, sono:

  • Minore aggressione dei tessuti molli e conservazione dei legamenti crociati.
  • Recupero funzionale più veloce, con deambulazione già nei primi giorni postoperatori.
  • Maggiore stabilità e sensazione di movimento naturale.
  • Minor rischio di rigidità articolare e dolore residuo.
  • Possibilità di revisione più semplice, grazie alla conservazione di un buon volume osseo.

Il vantaggio più evidente resta la qualità del recupero. Nella maggior parte dei casi, il paziente torna a camminare senza ausili entro due o tre settimane e riprende le attività quotidiane nel giro di un mese.

Chi può beneficiare dell’intervento

La protesi monocompartimentale è adatta a pazienti che presentano artrosi limitata a un compartimento e legamenti in buone condizioni. Non esiste un limite d’età rigido: la decisione dipende dalla situazione articolare e dalle aspettative del paziente.

È una soluzione ideale anche per persone giovani e attive, che desiderano mantenere una buona funzionalità e una sensazione naturale del ginocchio, pur avendo una degenerazione localizzata. Allo stesso modo, è indicata per soggetti più anziani con artrosi monocompartimentale e dolore localizzato.

Questo intervento non è indicato nei casi di artrosi diffusa, deformità importanti o gravi instabilità legamentose, situazioni che richiedono una protesi totale.

La riabilitazione inizia già nelle prime ore dopo l’intervento. Il paziente viene incoraggiato a muovere il ginocchio e a camminare con l’aiuto del fisioterapista. La mobilizzazione precoce favorisce la guarigione e riduce il rischio di rigidità.

Nei primi 2-3 giorni si utilizzano le stampelle, che vengono abbandonate progressivamente nel giro di una o due settimane. La guida dell’auto è di solito consentita dopo circa tre settimane, mentre il ritorno a una normale vita attiva avviene entro 30-45 giorni. Le attività sportive leggere, come bicicletta o nuoto, possono essere riprese entro due o tre mesi.

Domande frequenti dei pazienti

Cos’è una protesi monocompartimentale?

È una protesi che sostituisce solo la porzione del ginocchio danneggiata dall’artrosi, mantenendo le altre strutture articolari sane e i legamenti integri.

Quando è indicata?

È indicata nei casi di artrosi localizzata in un singolo compartimento, con legamenti stabili e assenza di gravi deformità.

Come si svolge l’intervento?

Si esegue attraverso un’incisione di circa 7-9 cm. Si rimuovono le superfici danneggiate e si inserisce la protesi con cemento chirurgico. L’intervento dura meno di un’ora e consente una rapida ripresa.

Quali vantaggi offre?

L’intervento è meno invasivo rispetto a una protesi totale, comporta minore dolore postoperatorio, un recupero più veloce e mantiene il movimento naturale del ginocchio grazie alla conservazione dei legamenti.

Quanto dura il ricovero?

Il ricovero dura mediamente tre o quattro giorni. In alcuni casi, con l’utilizzo di protocolli accelerati e anestesia moderna, è possibile la dimissione nelle 24 ore successive.

È possibile che serva un altro intervento in futuro?

Sì, in caso di progressione dell’artrosi negli altri compartimenti, può essere necessaria una conversione in protesi totale. La struttura residua dell’osso, tuttavia, consente una revisione agevole e sicura.

Nel corso degli anni ho eseguito numerosi impianti di protesi monocompartimentale, osservando risultati clinici eccellenti e un elevato grado di soddisfazione nei pazienti. L’accuratezza dell’indicazione e la precisione tecnica sono gli aspetti che più influenzano il successo a lungo termine.

Per me, la protesi monocompartimentale, quando ci sono le indicazioni,  è una scelta chirurgica di valore perché consente di ottenere un recupero rapido, mantenendo al tempo stesso la naturalezza del movimento e la sensibilità articolare. È una procedura che combina tecnologia e rispetto dell’anatomia, restituendo al paziente la possibilità di muoversi con libertà e senza dolore.